S.E.S. 슈, 뱃살은 없는데… 건강 검진 결과는?
S.E.S. 출신 슈가 SBS '스타건강랭킹 넘버원'에서 간혈관종 진단을 받아 많은 이들에게 충격을 안겨주고 있습니다. 10일 방송 예고를 통해 슈의 건강 상태가 공개되었는데요, 뱃살은 찾아볼 수 없지만, 예상치 못한 건강 문제로 팬들의 걱정을 자아냈습니다. 슈는 평소 소화불량과 변비로 고생했다고 밝혔으며, 극심한 변비로 응급실을 찾았던 경험도 털어놓았습니다. 이번 방송에서는 슈의 건강 검진 결과를 통해 간에서 종양이 발견되었고, 전문가는 이를 '간혈관종'으로 진단했습니다. 슈는 뜻밖의 진단에 당혹감을 감추지 못했습니다. 이번 소식을 통해 건강 관리에 대한 중요성을 다시 한번 깨닫게 됩니다.

전영미의 '뱃살' 언급, 슈를 당황하게 만들다
방송에서 전영미는 슈에게 '왜 하필 주제가 뱃살일 때 나를 불렀냐'며 불만을 토로했습니다. 슈의 날씬한 몸매를 보며 전영미는 '툭 쳤다고 바로 넘어갈 것 같아. 애 셋을 낳았는데 배가 없어!'라고 말하며 슈를 당황하게 만들었습니다. 슈는 이에 대해 '옷으로 잘 가린 것뿐이다'라고 답하며 민망해하는 모습을 보였습니다. 이러한 유쾌한 에피소드와 함께 슈의 건강 문제가 더욱 안타까움을 자아냅니다. 이번 방송을 통해 슈의 건강 상태와 함께 그녀의 솔직한 이야기들이 공개될 예정입니다. 팬들은 슈의 건강 회복을 간절히 응원하고 있습니다.

소화불량과 변비, 슈를 괴롭힌 증상들
슈는 평소 소화불량과 변비로 인해 많은 어려움을 겪었다고 고백했습니다. 그녀는 '가방에 소화제를 종류별로 갖고 다닐 정도였다'고 말하며, 일상생활에서의 불편함을 드러냈습니다. 극심한 변비로 인해 응급실을 찾았던 경험은 그녀의 건강 상태가 얼마나 심각했는지를 보여줍니다. 이러한 증상들은 간혈관종 진단과 함께 슈의 건강에 대한 우려를 더욱 증폭시켰습니다. 이번 방송에서는 소화불량의 위험성에 대해서도 자세히 다룰 예정입니다. 소화불량을 장기간 방치할 경우 비만으로 이어질 수 있다는 점을 강조하며, 건강 관리에 대한 경각심을 일깨울 것으로 보입니다.

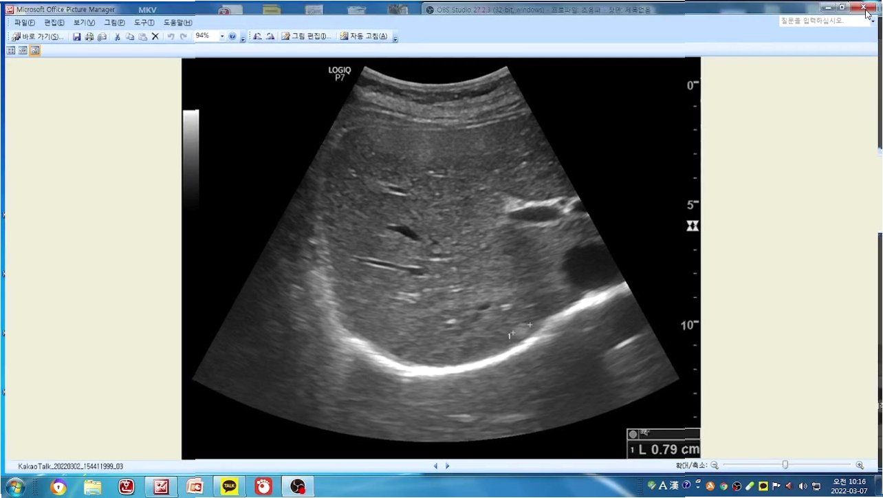
간혈관종, 무엇이 문제일까?
간혈관종은 간에 발생하는 양성 종양으로, 대부분 무증상으로 발견되는 경우가 많습니다. 하지만 크기가 커지거나 다른 문제를 일으킬 경우, 복통, 팽만감 등의 증상을 유발할 수 있습니다. 슈의 경우, 소화불량과 변비 증상이 있었던 것으로 보아, 간혈관종이 이러한 증상에 영향을 미쳤을 가능성도 있습니다. 전문의의 정확한 진단과 치료가 필요한 상황입니다. 이번 방송을 통해 간혈관종에 대한 자세한 정보와 함께 슈의 건강 회복을 위한 노력이 공개될 예정입니다. 팬들은 슈의 건강한 모습을 다시 볼 수 있기를 간절히 바랍니다.

건강 검진의 중요성, 슈의 사례가 주는 교훈
슈의 사례는 건강 검진의 중요성을 다시 한번 강조합니다. 겉으로는 건강해 보이는 사람도 예상치 못한 질병을 겪을 수 있다는 것을 보여줍니다. 정기적인 건강 검진을 통해 질병을 조기에 발견하고, 적절한 치료를 받는 것이 중요합니다. 슈의 경우, 간에서 종양이 발견되었지만, 조기에 발견하여 치료를 시작할 수 있다면 긍정적인 결과를 기대할 수 있습니다. 이번 방송을 통해 많은 사람들이 건강 검진의 중요성을 깨닫고, 자신의 건강을 챙기는 계기가 되기를 바랍니다.

방송을 통해 공개될 슈의 건강 회복 과정
12일 오후 8시 10분 SBS '스타건강랭킹 넘버원'에서는 슈의 건강 검진 결과와 함께 그녀의 솔직한 이야기들이 공개될 예정입니다. 슈는 간혈관종 진단을 받고 당혹감을 감추지 못했지만, 긍정적인 마음으로 건강 회복을 위해 노력할 것으로 보입니다. 방송에서는 슈의 건강 회복 과정, 전문의의 조언, 그리고 건강 관리에 대한 유용한 정보들을 제공할 예정입니다. 팬들은 슈의 건강한 모습을 다시 볼 수 있기를 간절히 바라며, 그녀의 용기를 응원하고 있습니다. 이번 방송을 통해 많은 시청자들이 건강에 대한 관심을 높이고, 건강한 삶을 위한 노력을 시작할 수 있기를 기대합니다.

슈, 간혈관종 진단… 건강 적신호, 팬들의 응원 쇄도
S.E.S. 슈, 뱃살은 없지만 간혈관종 진단 받아 충격! 소화불량과 변비로 고생하며, 건강 검진 결과 간에서 종양 발견. 12일 방송에서 슈의 건강 회복 과정 공개 예정. 팬들은 슈의 건강한 모습 회복을 응원하며, 건강 검진의 중요성을 다시 한번 강조합니다.

궁금증 해결! 슈의 건강과 관련된 Q&A
Q.슈가 겪은 소화불량과 변비는 간혈관종과 관련이 있나요?
A.간혈관종이 직접적으로 소화불량과 변비를 유발하는 경우는 드물지만, 간 기능에 영향을 미쳐 간접적으로 증상을 악화시킬 수 있습니다. 정확한 원인은 전문의의 진단을 통해 확인해야 합니다.
Q.간혈관종은 위험한 질병인가요?
A.간혈관종은 대부분 양성 종양으로, 크기가 작고 증상이 없는 경우 특별한 치료가 필요하지 않습니다. 하지만 크기가 커지거나 다른 문제를 일으킬 경우, 치료가 필요할 수 있습니다. 전문의와 상담하여 적절한 치료 계획을 세우는 것이 중요합니다.
Q.슈의 건강 회복을 위해 어떤 노력이 필요할까요?
A.정기적인 검진을 통해 간혈관종의 상태를 확인하고, 전문의의 지시에 따라 적절한 치료를 받는 것이 중요합니다. 또한, 건강한 식습관과 규칙적인 운동을 통해 전반적인 건강을 관리하는 것이 도움이 될 수 있습니다.

'연예' 카테고리의 다른 글
| 김유정, 악녀 변신으로 '친애하는 X' 7개국 1위 석권! | 파격적인 스토리와 흥행 돌풍 분석 (0) | 2025.11.11 |
|---|---|
| 과즙세연, 생일 하루 3천만 원 수익! 팬들의 뜨거운 사랑, 그 놀라운 이야기 (0) | 2025.11.11 |
| 이준수, 서울예대 최종 합격! 배우 이종혁 아들, 아버지의 발자취를 따를까? (0) | 2025.11.10 |
| 공효진, 임신설 잠재운 '센스': 루머 잠재운 사진 한 장의 '쿨'한 반전 (0) | 2025.11.10 |
| 22기 경수♥옥순, 눈물과 감동의 결혼식: '나는 솔로'가 맺어준 아름다운 인연 (0) | 2025.11.10 |